
Resolução passo a passo com explicação detalhada
Biologia > Citogenética > Mutações e Aberrações Cromossômicas
Mutações e Aberrações Cromossômicas aparece em ~0% das questões de Biologia (83 questões no banco).
ENEM 2023
Questão 29
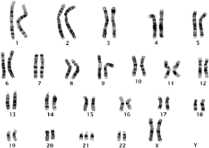
A síndrome de Down é uma alteração genética associada à trissomia do cromossomo
Albert Einstein 2023
Questão 30
A abelha-rainha da espécie Apis mellifera possui dezesseis pares de cromossomos
USS (Univassouras) 2023
Questão 37
O cromossomo Filadélfia é uma anomalia cromossômica que está associada à leucemi
USS (Univassouras) 2023
Questão 37
O cromossomo Filadélfia é uma anomalia cromossômica que está associada à leucemi