Leia o texto e responda a pergunta.
[1] TURNING THOUGHTS INTO WORDS
[2] A new approach allows more information to be extracted from the brain.
[3] Brain-computer interfaces could someday provide a lifeline to “locked-in”
[4] patients, who are unable to talk or move but are aware and awake. Many
[5] of these patients can communicate by blinking their eyes, but turning blinks
[6] into words is time-consuming and exhausting. Scientists in Utah have now
[7] demonstrated a way to determine which of 10 distinct words a person is
[8] thinking by recording the electrical activity from the surface of the brain.
[9] The new technique involves training algorithms to recognize specific brain
[10] signals picked up by an array of nonpenetrating electrodes placed over the
[11] language centers of the brain, says Spencer Kellis, one of the bioengineers
[12] who carried out the work at the University of Utah, in Salt Lake City. The
[13] approach used is known as electrocorticography (ECoG). The group was
[14] able to identify the words “yes,” “no,” “hot, “cold,” “thirsty,” “hungry,”
[15] “hello,” “goodbye,” “more,” and “less” with an accuracy of 48 percent.
[16] “The accuracy definitely needs to be improved,” says Kellis. “But we have
[17] shown the information is there.”
[18] Individual words have been decoded from brain signals in the past using
[19] functional magnetic resonance imaging (fMRI), says Eric Leuthardt, director of the Center for Innovation in Neuroscience
[20] and Technology at Washington University School of Medicine in St. Louis, Missouri. This is the first time that the feat
[21] has been performed using ECoG, a far more practical and portable approach than fMRI, he says.
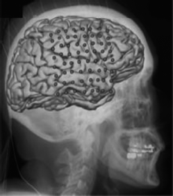
[22] Working with colleagues Bradley Greger and Paul House, Kellis placed 16 electrodes on the surface of the brain of a
[23] patient being treated for epilepsy. The electrodes recorded signals from the facial motor cortex—an area of the brain
[24] that controls face muscles during speech—and over the Wernicke’s area, part of the cerebral cortex that is linked with
[25] language. To train the algorithm, signals were analyzed as the patient was asked to repeatedly utter the 10 words.
[26] It’s possible to use less invasive techniques, such as electroencephalography (EEG), which places electrodes _____
[27] the scalp, to enable brain-to-computer communications. Adrian Owen, a senior scientist in the Cognition and Brain
[28] Sciences Unit at the University of Cambridge, UK, has shown that EEG signals can be used to allow people in a
[29] persistent vegetative state to communicate “yes” and “no.”
[30] But with EEG, many of the signals are filtered out by the skull, says Leuthardt. “What’s really nice about ECoG is its
[31] potential to give us a lot more information,” he says.
[32] Decoding 10 words is “very cool,” says Owen, but the accuracy will need to improve dramatically, given the patients
[33] the technology is aimed at. “I don’t think even 60 percent or 70 percent accuracy is going to work for patients who
[34] cannot communicate in any other way and where there is no other margin for verification,” he says.
[35] Ultimately, the hope is that ECoG will enable much more sophisticated communication. Last year Leuthardt showed
[36] that ECoG could be used to decode vowel and consonant sounds—an approach that might eventually be used to
[37] reconstruct a much larger number of complete words.
[38] By Duncan Graham-Rowe / Massachusetts, Technology Review, MIT, 09/23/2010
[39] Adapted from http://www.technologyreview.com/communications/26332/?p1=Headlines&a=f#afteradbody
Em relação às afirmações abaixo, é correto afirmar que
I. Já é possível identificar palavras nas quais uma pessoa está pensando através da decodificação da atividade elétrica no interior do cérebro.
II. O grupo de pesquisa conseguiu identificar palavras como “sim”, “não”, “quente”, “frio”, “com sede”, “com fome”, “olá”, “adeus”, “mais” e “menos” com mais de 48% de acerto.
III. A nova técnica desenvolvida pelos cientistas envolve o treinamento de algoritmos para reconhecer sinais cerebrais captados por eletrodos internos colocados nos centros de linguagem do cérebro.
IV. Os cientistas estão completamente satisfeitos com a precisão dos resultados da nova técnica.