
Resolução passo a passo com explicação detalhada
Biologia > Estrutura Celular > Outros tópicos de Estrutura Celular
Outros tópicos de Estrutura Celular aparece em ~1% das questões de Biologia (131 questões no banco).
USS (Univassouras) 2024
Questão 39
O termo transplante faz referência ao ato de transferir células, tecidos ou órgã
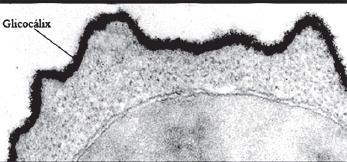
FAMERP 2024
Questão 41
A superfície externa da membrana plasmática das células animais apresenta uma gr
ENEM 2024
Questão 42
O esquema representa um experimento feito com células do protozoário Amoeba prot
ACAFE 2024
Questão 50
Leia atentamente o texto abaixo: “Avanços da ciência são responsáveis por grande