
Resolução passo a passo com explicação detalhada
Biologia > Citogenética > Síndromes Cromossômicas Humanas
Síndromes Cromossômicas Humanas aparece em ~0% das questões de Biologia (82 questões no banco).
UFRR 2024
Questão 26
Recentemente, um cantor popular do Brasil anunciou que seu filho nascera com a S
UPF 2023
Questão 69
Descrita na década de 1930 pelo endocrinologista Henry Turner, a Síndrome de Tur
FPS 2022
Questão 4
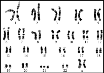
A figura abaixo apresenta um cariótipo de um ser humano com uma anomalia no par
IMEPAC 2022
Questão 20
Brasil tem 300 mil pessoas com a Síndrome de Down Você sabe o que faz alguém ter